天津中医药大学二附属医院
首页
医院概况
新闻公告 就医指南 临床科室 行政科室 专家介绍 党的建设 科学研究 医学伦理 临床药理 人力资源 教育教学 护理天地 药事文苑
     医院介绍 联系我们 现任领导 大事记 院务公开 书记院长信箱
HER-2检测:照亮乳腺癌精准治疗的“导航灯”
发布人:王亚霓

  世界卫生组织(World Health Organization,WHO)国际癌症研究机构最新发布的数据显示,乳腺癌已成为全球发病率最高的恶性肿瘤,严重危害广大女性的身心健康。在乳腺癌的诊断与治疗中,有一个至关重要的分子指标——HER-2(人表皮生长因子受体2)。它如同一把关键的“钥匙”,不仅揭示了肿瘤的某些特性,更直接指引着后续治疗的方向,准确检测HER-2状态是实施个体化、精准化治疗的基石。

一、 HER-2是什么?为何如此重要?

  HER-2是一种存在于细胞表面的蛋白质,像“天线”一样接收促进细胞生长分裂的信号。正常情况下,每个细胞拥有两个HER-2基因拷贝,产生适量蛋白。但在约15%-20%的乳腺癌中,HER-2基因过度扩增,导致细胞表面产生大量HER-2蛋白(过表达)。这种“HER-2阳性”的癌细胞,其生长和增殖信号通路被异常、持续地激活,使得肿瘤往往更具侵袭性,生长更快,转移风险相对更高,预后也相对较差。然而,正是这一特性,为治疗提供了绝佳的“靶点”。针对HER-2蛋白的靶向药物(如曲妥珠单抗、帕妥珠单抗、恩美曲妥珠单抗等)能够精准识别并结合这些过量的“天线”,阻断生长信号,进而抑制或杀死肿瘤细胞。因此,明确HER-2状态,是决定患者能否从这些高效且至关重要的靶向治疗中获益的首要前提。

二、 如何检测HER-2状态?病理医生的“火眼金睛”

在病理科,我们主要通过两种互补的技术在乳腺癌组织样本上进行HER-2检测:

  1. 免疫组织化学法(IHC)

这是最常用的一线方法。我们使用特异性的抗体去“标记”组织切片中的HER-2蛋白,然后在显微镜下观察染色强度和范围,结果通常报告为0、1+、2+、3+。

    IHC 0或1+: 判定为HER-2阴性。意味着肿瘤细胞没有或仅有少量HER-2蛋白表达,通常不建议使用抗HER-2靶向治疗。

    IHC 2+:判定为“临界值”或“不确定”。蛋白表达处于中间水平,单凭IHC无法明确是阴性还是阳性。此时必须进行第二步检测——FISH(荧光原位杂交)来明确基因状态。

    IHC 3+:判定为HER-2阳性。意味着肿瘤细胞表面有大量HER-2蛋白过表达,患者适合接受抗HER-2靶向治疗。

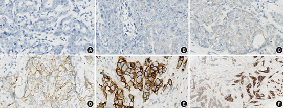
图1 浸润性乳腺癌HER2免疫组织化学(IHC)染色结果 EnVision法;A示IHC 0,无染色 高倍放大;B示IHC 0,存在细胞膜染色高倍放大;C示IHC 1+ 高倍放大;D示IHC 2+ 高倍放大;E示IHC 3+,无异质性 高倍放大;F示IHC 3+,有异质性 低倍放大

  1. 荧光原位杂交法(FISH):

这种方法直接在基因层面进行检测。我们用带有荧光标记的探针,去定位并计算细胞核内HER-2基因的拷贝数量。如果HER-2基因与参照基因的比值≥2.0,或者每个细胞核内HER-2基因拷贝数≥6.0,则判定为HER-2基因扩增(阳性)。

FISH检测是判断HER-2状态的“金标准”,尤其用于确认IHC 2+的结果。

图2 浸润性乳腺癌HER2双探针荧光原位杂交检测结果 FISH法 高倍放大;A示阳性;B示阴性

三、 HER-2检测在治疗决策中的核心地位——检测结果直接决定临床治疗方案

1.对于HER-2阳性患者:无论早期还是晚期,抗HER-2靶向治疗都是其综合治疗方案(可能联合化疗、放疗、内分泌治疗等)的核心组成部分。在新辅助治疗(术前治疗)中,使用靶向药物能使相当一部分患者的肿瘤显著缩小甚至达到病理完全缓解,从而提高手术成功率和长期生存率。

2.对于HER-2阴性患者:则避免不必要的靶向治疗,转而选择其他更适合的方案,如内分泌治疗或针对其他靶点的药物,这既节省了医疗资源,也防止了患者承受潜在的药物副作用。

四、 新进展与未来展望

随着研究的深入,HER-2检测的内涵也在扩展:

  1. HER-2低表达:近年来,针对IHC 1+或IHC 2+且FISH阴性的“低表达”群体,新型抗体偶联药物(如德曲妥珠单抗)也展现了显著疗效,这部分患者的治疗结局正在被改写,对检测的精确性提出了更高要求。
  2. 异质性与再检测:肿瘤内部可能存在HER-2状态不一致的区域(异质性)。对于复发、转移的病灶,重新进行HER-2检测有时能发现状态改变,为后续治疗提供新机会。
  3. 液体活检探索:通过检测血液中循环肿瘤DNA来评估HER-2状态,作为一种无创、动态的监测手段,正在研究中。

  HER-2检测是现代乳腺癌病理诊断中不可或缺的一环。它从分子层面解读肿瘤的特性,为每一位患者绘制出独特的“治疗蓝图”。作为病理医生,我们深知肩上责任之重——通过精准、可靠的检测,确保不遗漏任何一位可能从靶向治疗中获益的患者,也避免让不适合的患者承受不必要的治疗。这盏精准的“导航灯”,将继续引领乳腺癌治疗迈向更加个体化、高效化的未来。

作者:病理科 王艳茹

友情链接
廉韵津沽 天津市卫健委 天津中医药大学 中医一附院          
内容声明:本站信息仅供给您做为健康参考,请勿将它作为您诊断或治疗的唯一依据 设为首页 | 加入收藏 | 联系我们   
主办:天津中医药大学第二附属医院 技术支持:津云 备案序号:津ICP备14000208号-1
中央网信办违法和不良信息举报中心网 | 天津市互联网违法和不良信息举报中心